Viêm Nang Lông: Nguyên Nhân, Triệu Chứng & Cách Điều Trị Hiệu Quả

Viêm nang lông là một trong những vấn đề da liễu phổ biến, có thể xuất hiện ở bất kỳ ai và bất cứ vị trí nào trên cơ thể. Mặc dù không quá nguy hiểm, nhưng bệnh rất khó điều trị. Hơn nữa, viêm nang lông có thể gây ngứa ngáy, khó chịu và ảnh hưởng đến thẩm mỹ của làn da. Hãy cùng tìm hiểu rõ hơn về căn bệnh này nhé!

Viêm nang lông là gì?

Trong y học cổ truyền, viêm nang lông được gọi là “thử sang” hoặc “ẩn chẩn”, thuộc phạm vi các chứng bệnh ngoài da do phong nhiệt, thấp nhiệt hoặc huyết nhiệt gây ra. Đây là tình trạng viêm nhiễm tại các nang lông do các yếu tố nội nhân (bên trong cơ thể) và ngoại nhân (tác động từ môi trường bên ngoài) kết hợp làm rối loạn cân bằng âm dương, khí huyết.

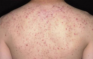
btd6-1769235339.png
Viêm nang lông ảnh hưởng xấu tới thẩm mỹ, gây ngứa ngáy, khó chịu

Cơ chế hình thành viêm nang lông

Làn da được xem là “phủ của phế”, tức là có mối quan hệ chặt chẽ với phổi. Khi tạng phế bị suy yếu, tà khí dễ xâm nhập vào cơ thể, dẫn đến các bệnh ngoài da, trong đó có viêm nang lông. 

Ngoài ra, hệ thống tỳ vị, can (gan), thận cũng đóng vai trò quan trọng trong việc đào thải độc tố và điều hòa khí huyết. Khi một trong các tạng này suy yếu, cơ thể không thể bài tiết nhiệt độc qua đường tiểu hoặc đại tiện, buộc phải phát tiết qua da, gây ra các tổn thương ở nang lông.

Đặc điểm bệnh viêm nang lông theo Đông y

Tính tái phát cao: Do căn nguyên gây bệnh xuất phát từ bên trong cơ thể, nếu chỉ điều trị triệu chứng bên ngoài mà không điều hòa nội tạng, bệnh rất dễ quay trở lại.

Biểu hiện đa dạng: Tùy vào thể bệnh mà triệu chứng có thể khác nhau, có người chỉ bị nổi mụn nhỏ, có người lại xuất hiện mụn mủ, sưng đau hoặc viêm nhiễm sâu.

Liên quan đến chức năng tạng phủ: Người có chức năng gan, thận kém thường có nguy cơ bị viêm nang lông cao hơn do cơ thể không đào thải độc tố hiệu quả.

btd5-1769235372.png
Viêm nang lông xuất hiện dưới nhiều dạng khác nhau

Nguyên nhân gây viêm nang lông

Theo y học hiện đại, có nhiều nguyên nhân dẫn đến tình trạng viêm nang lông, bao gồm:

  • Vi khuẩn, nấm, virus: Chủ yếu do vi khuẩn Staphylococcus aureus hoặc nấm Candida gây ra.
  • Lông mọc ngược: Thường xảy ra khi cạo lông không đúng cách, làm lông mọc ngược vào trong gây viêm.
  • Mồ hôi nhiều: Khi da đổ mồ hôi nhưng không được vệ sinh sạch sẽ, vi khuẩn dễ sinh sôi, gây bít tắc nang lông.
  • Mặc quần áo quá chật: Chất liệu không thấm hút mồ hôi sẽ tạo môi trường ẩm ướt, kích thích vi khuẩn phát triển.
  • Dùng mỹ phẩm không phù hợp: Một số sản phẩm có thể gây kích ứng, làm bít tắc nang lông, dẫn đến viêm nhiễm.
  • Suy giảm miễn dịch: Những người có hệ miễn dịch yếu, mắc bệnh tiểu đường hoặc béo phì có nguy cơ cao bị viêm nang lông.

Theo Đông y, viêm nang lông hình thành chủ yếu do 3 nguyên nhân chính:

  • Phong nhiệt xâm nhập: Khi cơ thể bị phong nhiệt (nhiệt độc tích tụ) xâm nhập, nhiệt tà sẽ bốc lên da, làm bít tắc lỗ chân lông, gây viêm, sưng đỏ.
  • Thấp nhiệt tích tụ: Thói quen ăn đồ cay nóng, dầu mỡ, hoặc sống trong môi trường nóng ẩm lâu ngày có thể khiến thấp nhiệt ứ trệ trong cơ thể, làm da dễ nổi mụn mủ, sưng viêm.
  • Khí huyết bất thông: Khi huyết khí kém lưu thông, cơ thể bị ứ trệ độc tố, không thể đào thải ra ngoài qua đường tiêu hóa hoặc tiết niệu, độc tố sẽ phát ra ngoài da, gây viêm nhiễm nang lông.

Ngoài ra, các yếu tố như cơ địa nhiệt, gan thận suy yếu, hoặc chế độ sinh hoạt không lành mạnh cũng góp phần làm tăng nguy cơ mắc bệnh.

btd4-1769235372.png
Khí huyết kém lưu thông là nguyên nhân khiến viêm nang lông xuất hiện

Triệu chứng của viêm nang lông

Tùy vào nguyên nhân gây bệnh, viêm nang lông có thể biểu hiện qua các triệu chứng sau:

Phong nhiệt phạm biểu: Da xuất hiện nhiều nốt đỏ nhỏ, sưng tấy, có cảm giác nóng rát, ngứa ngáy, đôi khi có mụn nước.

Thấp nhiệt uất kết: Xuất hiện mụn mủ màu vàng, da nhờn rít, ẩm ướt, dễ tái phát, có thể kèm theo cảm giác mệt mỏi, ăn uống kém.

Khí huyết ứ trệ: Nang lông sưng to, viêm dai dẳng, mụn có thể đóng vảy đen, khó lành, thường gặp ở người có tuần hoàn máu kém.

Viêm nang lông không chỉ gây khó chịu mà còn ảnh hưởng đến thẩm mỹ, khiến người bệnh mất tự tin trong giao tiếp. Nếu không điều trị đúng cách, bệnh có thể tiến triển thành viêm da mãn tính, để lại thâm sẹo hoặc gây viêm nhiễm lan rộng. Do đó, y học cổ truyền nhấn mạnh vào việc điều trị cả bên trong lẫn bên ngoài để loại bỏ tận gốc nguyên nhân gây bệnh.

Cách điều trị viêm nang lông hiệu quả

Hiện nay, để điều trị viêm nang lông, tây y thường sử dụng các thuốc bôi kháng khuẩn hoặc chống viêm. Thuốc giúp làm giảm triệu chứng, nhưng chỉ sau một thời gian, bệnh rất dễ quay trở lại. Hơn nữa, việc dùng thuốc tây còn có thể dẫn tới nhiều tác dụng phụ nguy hại tới sức khỏe.

btd3-1769235371.png
Thuốc bôi có chỉ giúp làm giảm các triệu chứng

Không giống với tây y, Đông y tập trung vào việc đẩy lùi viêm nang lông từ gốc, chú trọng điều trị viêm nang lông theo nguyên tắc “Thanh nhiệt – Giải độc – Hoạt huyết – Trừ thấp”. Dưới đây là một số phương pháp phổ biến:

1. Dùng thuốc uống thanh nhiệt, giải độc

Các bài thuốc Đông y thường sử dụng để thanh nhiệt, loại bỏ độc tố bên trong, giúp cải thiện tình trạng viêm nang lông:

Bài thuốc thanh nhiệt, giải độc (dành cho phong nhiệt phạm biểu): Kim ngân hoa, Bồ công anh, Sinh địa, Liên kiều, Cam thảo

Bài thuốc kiện tỳ, trừ thấp (dành cho thấp nhiệt uất kết): Hoàng liên, Thương truật, Trạch tả, Phục linh, Bạch truật

Bài thuốc hoạt huyết, tiêu viêm (dành cho khí huyết ứ trệ): Đương quy, Xuyên khung, Hồng hoa, Ích mẫu

Các bài thuốc này giúp thanh nhiệt cơ thể, tăng cường chức năng gan thận, đào thải độc tố, từ đó cải thiện tình trạng viêm nhiễm da.

btd2-1769235371.png
Các bài thuốc đông y tác động từ căn nguyên đem lại hiệu quả toàn diện

 2. Dùng thuốc bôi ngoài da

Ngoài uống thuốc, Đông y cũng sử dụng các loại thảo dược bôi ngoài để sát khuẩn, làm dịu da và giảm viêm:

Nước sắc lá trầu không: Có tính kháng khuẩn, giúp giảm sưng viêm hiệu quả.

Nước sắc bồ kết: Giúp làm sạch nang lông, ngăn ngừa vi khuẩn phát triển.

Bột đắp từ hoàng bá, đại hoàng: Có tác dụng thanh nhiệt, tiêu viêm, giúp mụn nhanh lành.

3. Thay đổi chế độ ăn uống, sinh hoạt

Hạn chế đồ cay nóng, dầu mỡ, bia rượu để tránh làm tăng thấp nhiệt trong cơ thể.

Tăng cường rau xanh, trái cây, nước ép thanh nhiệt để hỗ trợ đào thải độc tố.

Giữ gìn vệ sinh cơ thể sạch sẽ, đặc biệt là vùng da dễ đổ mồ hôi.

Hạn chế cạo nhổ lông quá thường xuyên để tránh kích ứng da.

Hiện nay, để điều trị viêm nang lông, nhiều người lựa chọn thăm khám và điều trị tại phòng khám Đông y Bảo Thanh Đường. Không chỉ thành công đẩy lùi căn bệnh viêm nang lông đeo bám nhiều năm, bài thuốc của Bảo Thanh Đường còn giúp người dùng có làn da mịn màng, tươi sáng nhờ cơ chế tác động từ gốc:

Thanh nhiệt, giải độc trong cơ thể.

Bồi bổ chức năng gan thận, tăng cường lưu thông khí huyết

Tăng cường hàng rào vật lý trên da, tăng cường hệ miễn dịch, ngăn bệnh tái phát.

Đặc biệt, khi tới thăm khám tại Bảo Thanh Đường, người bệnh được trải nghiệm nhiều dịch vụ chăm sóc sức khỏe cao cấp:

  • Thăm khám 1 - 1 với chuyên gia giàu kinh nghiệm
  • Sử dụng bài thuốc phù hợp với thể trạng bệnh
  • Hỗ trợ bào chế, sắc thuốc dưới dạng tiện dùng
  • Bài thuốc sử dụng thảo dược tự nhiên 100% an toàn với sức khỏe.
btd-1769235372.png
Thăm khám trực tiếp với bác sĩ tại phòng khám Bảo Thanh Đường

Viêm nang lông tuy không nguy hiểm nhưng có thể gây ảnh hưởng đến thẩm mỹ và chất lượng cuộc sống. Chỉ cần chăm sóc da đúng cách và điều trị kịp thời, bạn hoàn toàn có thể kiểm soát và phòng tránh căn bệnh này. Nếu tình trạng viêm nang lông kéo dài hoặc trở nên nghiêm trọng, hãy liên hệ ngay tới phòng khám đông y Bảo Thanh Đường để được thăm khám và điều trị nhé!

>>> Xem thông tin phòng khám Bảo Thanh Đường: TẠI ĐÂY

Lưu ý: Bài viết chỉ mang tính chất tham khảo, không thay thế cho chẩn đoán và điều trị y khoa. Hãy tham khảo ý kiến bác sĩ trước khi áp dụng bất kỳ phương pháp điều trị nào.

THÔNG TIN PHÒNG KHÁM BẢO THANH ĐƯỜNG

Đông y Bảo Thanh Đường khám và tư vấn Miễn Phí tại các địa chỉ:

TPHCM: 210 Lê Lai, p.Bến Thành, Q.1, ĐT: (0283) 9252818/ 0767732126 (zalo)

Hà Nội: 90 Trần Hưng Đạo, Q.Hoàn Kiếm, ĐT: (0243) 9423585/0912050568

Đà Nẵng: 60A Lê Hồng Phong, Q.Hải Châu, ĐT: (02363) 562037/0907566072

Hoặc có thể mua thuốc online nhận trực tiếp tại nhà qua hotline 0767732126.

Xin liên hệ điện thoại 0767732126 trong khung giờ này (Sáng từ 07h30 đến 11h30; Chiều từ 14h00 đến 17h30; Từ thứ hai đến thứ bảy).

Website: www.baothanhduong.com.vn

Facebook: https://www.facebook.com/yduocbaothanhduong